| 일반 혈액 검사 | 간 기능 검사 | 신장 기능 검사 | 지질 검사 |
| 당뇨 관련 검사 | 전해질 및 무기질 | 갑상선 기능 검사 | 호르몬 검사 |
| 면역 및 감염 질환 검사 | 빈혈 및 철 대사 | 종양 표지자 검사 | 자가면역 검사 |
| 혈액 응고 검사 |
| 비타민 D 검사 | 혈액 속 25-D하이드록시비타민D의 농도 확인으로 체내 비타민D의 결핍, 부족, 충분, 독성을 확인하고, 뼈 건강 및 면역 체계와 관련된 질환의 위험도를 평가하는 검사입니다. |
| 시낙텐 검사 | 부신피질 자극호르몬을 투여해 부신의 코르티솔 분비 능력을 평가하는 검사입니다.
검사 전 환자의 혈액을 채취하여 코르티솔 수치를 측정합니다.
시낙텐을 주사하고 30분 후 다시 환자의 혈액을 채취하여 코르티솔 수치를 측정합니다. 자극 후 코르티솔 수치가 상승하지 않으면 부신 기능 저하증을 의심할 수 있습니다. |
| IGRA 결핵검사 | 결핵균에 대한 면역 반응을 측정해 결핵 감염 여부를 판단하는 검사입니다. |
| 발프로익 검사 (valproic acid) |
간질, 조울증, 편두통 예방 등에 사용하는 발프로산은 치료 농도 범위(보통 50~100 μg/mL)가 중요합니다. 혈액 속 발프로산(valproic acid)의 농도를 정량적으로 측정하여, 치료 범위 내에 있는지 평가하는 검사입니다.
보통 약 복용 후 12시간이 지난 시점(최소혈중농도)에 혈액을 채취합니다.
|
| 기본 소변 검사 10종 | 현미경 소변 검사 | 신장 기능 관련 검사 | 마약 및 약물 검사 |
| 단 순 촬 영 검 사 | |
![]() |
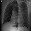
흉부 단순촬영검사 정면/왼쪽측면 X선을 이용해 흉부 장기와 뼈의 상태를 촬영하여 폐, 심장 등의 이상 여부를 진단하는 검사입니다. |
![]() |
복부 단순촬영검사 직립/앙와위 직립 : 서 있는 자세에서 복부를 촬영해 장내 가스 분포나 복강 내 자유 공기를 확인합니다 앙와위 : 누운 자세에서 복부를 촬영해 장기의 위치, 장폐색, 복부 내 덩어리나 이상 소견을 확인합니다. |
![]() |
늑골 단순촬영검사 X선을 이용해 갈비뼈의 골절, 탈구, 종양 등의 이상을 확인합니다. |
![]() |
신장요관방광 단순촬영검사 X-ray를 이용해 신장, 요관, 방광의 결석이나 구조적 이상 등을 확인합니다. |
| 이 외 족골 단순촬영검사, 흉요추 단순촬영검사, 요추 단순촬영검사 , 골반 단순촬영검사 도 있습니다. | |
| 유 방 촬 영 검 사 | |
|
Mammography 유방촬영 검사 저선량 X선을 이용해 유방 조직을 촬영하여 미세석회화, 종괴, 구조 왜곡 등 유방암의 초기 징후를 조기에 발견하는 검사입니다. |
|
| 골 밀 도 검 사 | |
![]() |
골밀도 검사 뼈에 X선을 조사해 칼슘 함량을 측정함으로써 골다공증의 위험도나 뼈 건강 상태를 확인합니다. |
| 컴 퓨 터 단 층 촬 영 검 사 | |
![]() |
LDCT 저선량 컴퓨터단층촬영 낮은 방사선량으로 폐 등 신체 단면을 촬영해 초기 폐암 등 이상을 조기에 발견하는 검사입니다. |
![]() |
HRCT 고해상도 컴퓨터단층촬영 폐의 미세 구조를 고해상도로 정밀하게 촬영해 간질성 폐질환 등 세밀한 폐 이상을 진단하는 검사입니다. |
![]() |
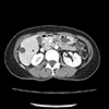
APCT 복부 비조영/조영 CT 비조영 : 복부 장기와 구조를 단순 촬영하여 결석, 출혈, 장 폐색 등 구조적 이상을 확인하는 검사입니다. 조영 : 조영제를 정맥 주사하여 혈관과 장기 조직의 대조도를 높여 종양, 염증, 혈관질환 등 병변의 위치와 성격을 보다 정확히 파악하는 검사입니다. |
![]() |
LIVER CT(3P) 3상 간 CT 조영제를 주입한 뒤 동맥기, 문맥기, 지연기 세 단계로 간을 촬영해 간암, 전이암, 혈관 이상 등 간 병변을 정밀하게 평가하는 검사입니다. |
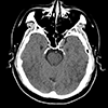
![]() |
BRAIN CT 비조영/조영 뇌 CT 비조영 : 조영제 없이 뇌를 촬영해 뇌출혈, 골절, 뇌경색, 뇌실 확장 등 급성 뇌질환을 신속하게 진단하는 검사입니다. 조영 뇌 CT: 조영제를 주입해 뇌종양, 염증, 혈관 기형 등 병변의 위치와 성격을 보다 명확하게 확인하는 정밀 검사입니다. |
![]() |
Brain Carotid Angio CT 뇌-경동맥 CT 혈관조영술 조영제를 이용해 뇌혈관과 경동맥을 고해상도로 촬영하여 협착, 폐색, 동맥류, 기형 등 혈관 질환을 평가하는 검사입니다. |
![]() |
Pancreas Dynamic CT 췌장 다이나믹 CT 조영제를 주입한 후 시간에 따라 여러 단계로 췌장을 촬영하여 췌장암, 췌장염, 낭종 등 췌장 질환을 정밀하게 진단하는 검사입니다. |
![]() |
Kidney Dynamic CT 신장 다이나믹 CT 조영제를 주입한 뒤 여러 단계로 신장을 촬영하여 신장종양, 낭종, 요로계 이상 등을 정밀하게 평가하는 검사입니다. |
![]() |
Lower Extremity Angio CT 하지 혈관 CT 조영제를 주입해 대퇴동맥부터 발끝까지의 하지 혈관을 정밀하게 촬영하여 동맥경화, 협착, 폐색 등 하지 혈관질환을 평가하는 검사입니다. |
| 이 외 Coronary Ca Score CT, 근골격계 CT (C,T,L Spine & 상지 & Lib), 조영제 CT (Chest, Brain carotid, Nect, PNS, Adrenal) 도 있습니다. | |
![]() |
Upper abdomen US 상복부 초음파 고해상도 초음파로 간, 담낭, 췌장 등 상복부 장기의 구조와 혈류 상태를 실시간으로 관찰하여 결석, 종양, 염증, 담즙 정체 등 이상을 진단하는 검사입니다. |
![]() |
Breast US 유방 초음파 고해상도 초음파를 이용해 유방 내 결절, 낭종, 종괴 등을 실시간으로 관찰하고, 유방암 등 병변의 유무와 양성·악성 가능성을 평가하는 검사입니다. |
![]() |
Kidney & Adrenal Gland US 신장 및 부신 초음파 고해상도 초음파를 이용해 신장과 부신의 크기, 형태, 병변 유무를 실시간으로 관찰하여 신장 결석, 수신증, 종양, 부신 종괴 등 이상을 평가하는 검사입니다. |
![]() |
Thyroid US 갑상선 초음파 고해상도 초음파를 이용해 갑상선의 크기, 형태, 결절 유무 및 내부 구조를 관찰하여 갑상선 결절, 낭종, 염증, 종양 등 이상 소견을 평가하는 검사입니다. |
![]() |
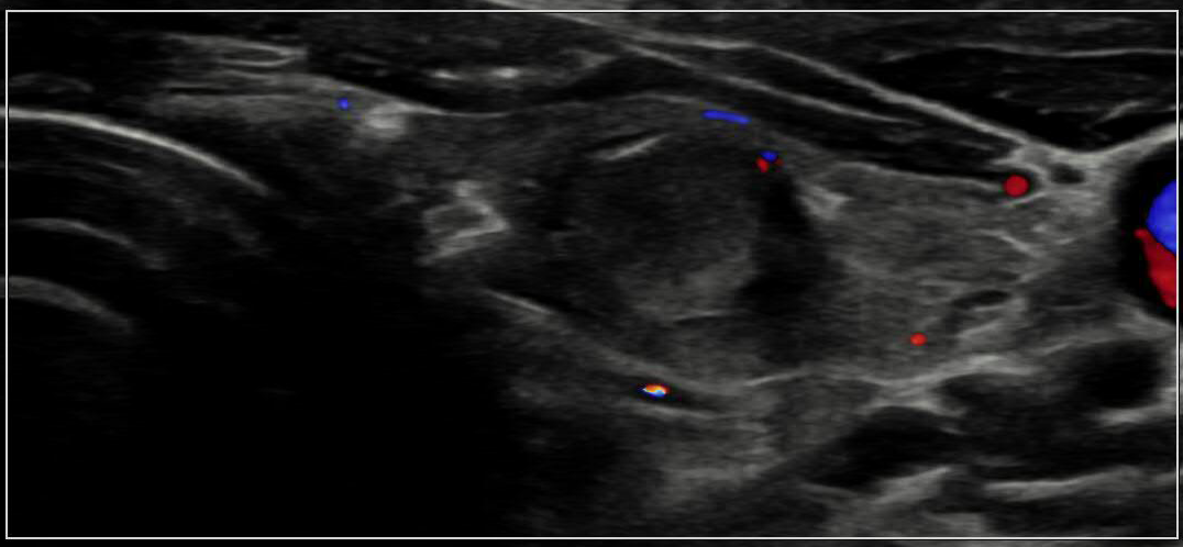
Carotid US 경동맥 초음파 고해상도 초음파로 목의 경동맥을 촬영해 혈관 협착, 플라크, 혈류 상태를 평가하여 뇌졸중 위험을 진단하는 검사입니다. |
![]() |
Thyroid Carotid US 갑상선·경동맥 초음파 고해상도 초음파로 갑상선 병변과 경동맥 협착, 혈류, 죽상경화를 동시에 평가해 갑상선 질환과 뇌혈관 위험을 진단하는 검사입니다. |
![]() |
Echocardiography 심장 초음파 고해상도 초음파를 이용해 심장의 구조와 기능, 혈류 흐름을 실시간으로 관찰하여 심장판막 이상, 심근 기능 저하, 심장병 변화를 평가하는 검사입니다. |
![]() |
Pelvis US (Female) 여성 골반 초음파 초음파를 조사하여 자궁과 난소 등 여성 골반 장기의 전체 구조를 넓은 범위에서 관찰하고, 종양, 낭종, 자궁근종 등 병변을 평가하는 검사입니다. |
![]() |
Pelvis US (Male) 남성 골반 초음파 고해상도 초음파로 남성 골반의 방광, 전립선, 정낭을 관찰해 병변 유무를 평가하는 검사입니다. |
![]() |
Abdominal US - Appendix 복부 초음파 - 충수돌기 고해상도 초음파를 이용해 충수돌기의 크기, 두께, 염증 여부를 실시간으로 관찰하여 충수염(맹장염) 진단과 합병증 여부를 평가하는 검사입니다. |
![]() |
Kidney & Adrenal Gland, Bladder US 비뇨기계 초음파 고해상도 초음파를 이용해 신장, 요관, 방광 등 요로계 구조와 기능을 관찰하여 결석, 종양, 수신증, 염증 등 이상을 평가하는 검사입니다. |
![]() |
Neck US 목 초음파 고해상도 초음파를 이용해 경부 림프절의 크기, 모양, 혈류 변화를 실시간 영상과 도플러로 확인하여 이상 유무을 평가하는 검사입니다. |
| 위내시경 검사 | 위내시경은 내시경을 이용해 식도, 위, 십이지장의 점막을 직접 관찰하여 염증, 궤양, 종양 등의 이상 여부를 확인하는 검사입니다. 조기위암 병변은 육안상 염증과 구분이 어려워, 의심 병변에서 조직을 채취해 병리학적으로 확인하는 조직병리검사를 할 수 있습니다. 또한 헬리코박터균은 위암 발생 위험을 높이는 요인으로, 감염이 의심될 경우 검체를 채취해 헬리코박터균 유무 를 확인할 수 있습니다. |
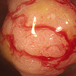
| 대장내시경 검사 |
대장내시경은 내시경을 이용해 대장 전체의 점막을 직접 관찰하여 용종, 염증, 출혈, 종양 등 다양한 대장 질환을 진단하는 검사입니다. 병변을 발견하게 되면 조직검사를 하게 되거나, 용종절제술을 할 수 있습니다. 특히 용종 중 선종(Tublur adenoma), 목 없는 톱니 병변(sessile serrated lesion), 전통 톱니선종(traditional serrated adenoma)은 그대로 두면 대장암으로 진행될 가능성이 높습니다.
|
